Λάμπρου Κατσώνη 60A, 18 344, Μοσχάτο

Τηλ: 210 9413 158 - 210 9411 570

E-mail: zoukosdentalclinic@gmail.com

· Προληπτική και διαγνωστική οδοντιατρική

 

- Κλινική Εξέταση ασθενούς

- Ακτινογραφικός έλεγχος με ενδοστοματική

  και πανοραμική ακτινογραφία

· Επανορθωτική οδοντιατρική

 

- Εμφράξεις

- Ανασυστάσεις

· Ενδοδοντία

 

- Ενδοδοντική θεραπεία

- Ακροριζεκτομή

· Περιοδοντολογία

 

- Αποτρύγωση (καθαρισμός) και στίλβωση

- Θεραπεία ουλίτιδας

- Θεραπεία περιοδοντίτιδας, συντηρητική και

  χειρουργική

· Χειρουργική στόματος

 

- Εξαγωγή

- Χειρουργική εξαγωγή εγκλείστων και ημι-

  εγκλείστων οδόντων

- Χαληνεκτομή

- Οστική ανάπλαση

- Εκτομές μαλακών ιστών

- Διατήρηση μετεξακτικού φατνίου

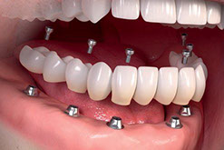
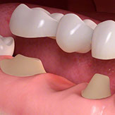
· Εμφυτεύματα

 

Η μακροχρόνια (από το 1991) εμπειρία και συνεχής ενημέρωση επί των νέων μεθοδολογιών και τεχνολογιών μας επιτρέπει την βέλτιστη αντιμετώπιση των εμφυτευματικών ασθενειών.

 

- Μερική έλλειψη δοντιών (μικρές γέφυρεςεπί

  εμφυτευμάτων)

- Άμεση τοποθέτηση εμφυτευμάτων και

  ταυτόχρονη τοποθέτηση προσωρινής

  αποκατάστασης (την ίδια μέρα)

- Αποκατάσταση ολικής έλλειψης δοντιών με

  ακίνητες γέφυρες

- Επένθετες οδοντοστοιχίες, στηριζόμενες σε

  εμφυτεύματα

· Προσθετική

 

- Κινητή (ολικές και μερικές οδοντοστοιχίες)

- Ακίνητη (ένθετα, επένθετα, στεφάνες, γέφυρες,

  επένθετες οδοντοστοιχίες)

- Προσθετική εμφυτευμάτων

· Αντιμετώπιση προβλημάτων

  δυσλειτουργίας κροταφογναθικής

  διάρθρωσης

 

- Ενδοστοματικοί νάρθηκες

· Αισθητική οδοντιατρική - Λεύκανση Οδόντων

 

- Όψεις (πορσελάνης-ζιρκονίου-συνθετικών

  ριττινών)

- Σχεδιασμός χαμόγελου με την βοήθεια

  σύγχρονων υπολογιστικών μεθόδων